蔡明晞醫師-隱形矯正專區
齒顎矯正專科醫師  蔡明晞醫師
  • 齒顎矯正首頁
    • 齒顎矯正醫師簡介
    • 經驗分享
    • 演講邀約
    • 媒體報導
    • 文獻發表
    • 證書與感謝狀
    • 友好連結
  • 隱形矯正
    • 隱形牙套(尚明)
  • 透明矯正
    • 透明矯正器(彭)
    • 上隱形下透明(藝人彤彤)
  • 正顎手術
    • 前牙開咬(周)
    • 戽斗矯正>
      • 正顎矯正(歐)
      • 戽斗臉型(涂)
      • 戽斗臉型(王)
    • 右側牙齒咬不到(陳)
  • 矯正知識庫
    • 矯正器的種類
    • 維持器的種類
    • 什麼是迷你骨釘?
    • 齒顎矯正類>
      • 到底需不需要牙齒矯正呢?
      • 矯正會不會很痛呢?
      • 牙齒矯正要多少錢?
      • 怎麼選擇矯正的牙科?
      • 齒顎矯正有甚麼優點?
      • 矯正治療多久需要回診?
      • 齒顎矯正是否越早做越好?
      • 有沒有什麼情況是需要及早接受矯正治療?
      • 矯正的治療時間已超過原本預估的時間,是否不正常?
      • 齒顎矯正治療,效果可以永久維持嗎?
      • 為什麼矯正牙齒需要拔牙?
      • 齒顎矯正能否不拔牙?
      • 只有青少年才能矯正牙齒嗎?大人可不可以做矯正?
      • 小孩換牙時期要不要矯正?
      • 什麼時候矯正最好?
      • 矯正的方法有哪些?
      • 矯正牙齒需要多長時間?
      • 在接受牙齒矯正需要做哪些檢查和動作?
      • 甚麼是齒顎矯正?
      • 齒顎矯正的目的?
      • 矯正期間是否會有不適?
      • 矯正為什麼要照X光片?
      • 矯正有副作用嗎?
    • 矯正器類>
      • 戴牙套會不會很醜啊?
      • 大概甚麼時候戴牙套最好呢?
      • 矯正完成後為什麼需要戴維持器(保持器)?
      • 有沒有看起來更美觀一些的矯治器?
      • 戴鋼牙好還是可拆式的好?
    • 牙齒類>
      • 做牙齒矯正治療時,為什麼牙齒會移動?
      • 牙齒矯正是否會導致牙齒更加鬆動而造成日後脫落?
      • 做牙齒矯正會造成蛀牙?
      • 咬合異常有什麼影響?
      • 牙為什麼會不齊?
      • 牙不齊有甚麼危害嗎?
      • 牙不整齊有什麼辦法治療嗎?
      • 矯正牙齒會不會造成牙齒鬆動?老了會不會掉牙?
      • 患有牙周病的牙錯位可不可以做矯正?
      • 牙齒咬合怎樣才叫正常?
    • 病症類>
      • 牙齒很多都抽過神經,可否做矯正治療?
      • 牙齒有牙周病,且年紀很大,還可以做牙齒矯正治療?
      • 懷孕了,可否接受矯正治療?
      • 請問根管治療帶牙套和矯正帶牙套會衝突嗎?
    • 兒童矯正>
      • 牙弓撐開術(陳)
      • 兒童矯正(黃)
      • 咬合斜板(陳)
      • 頭帽治療(許)
      • 活動式功能矯正(張)
  • 其他
    • 做矯正治療時,飲食方面有無禁忌?
    • 想做牙齒漂白與矯正,哪個該優先?
    • 正在學習吹奏樂器,可否做牙齒矯正治療?
    • 治療完成後得維護之道?
    • 關於種骨釘
    • 戴上矯正器後會磨牙嗎?
    • 牙齒的角度與矯正對臉型的改變有關係嗎?

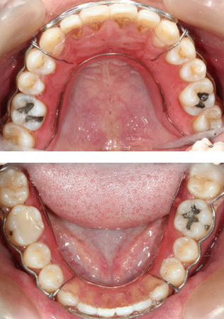
活動式維持器

图片
图片






由醫學用樹脂塑料板及固位用鐵線組成
,患者可自行裝戴。

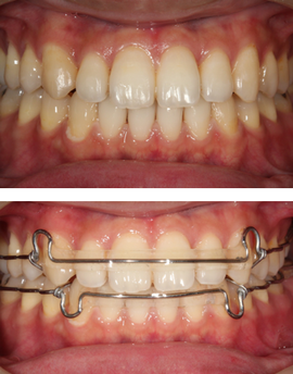
固定式維持器

图片


矯正治療完成後於上下前牙內側黏上固位用矯正線。

透明維持器

图片
图片



由透明壓克力樹脂板組成,
患者可自行裝戴。
Create a free web site with Weebly